Рентген локтевого сустава в Казани
Показания к рентгену локтевого сустава
Рентгенография локтевого сустава назначается, когда симптомов и осмотра недостаточно, а нужно объективно увидеть кость. Показаниями могут выступать следующие ситуации:
- острая травма (падение на вытянутую руку, удар по локтю, «хруст», резкая боль, деформация), подозрение на перелом мыщелков плечевой кости, локтевого отростка, головки лучевой;
- признаки вывиха/подвывиха (невозможность согнуть или разогнуть руку, «ступенька» в области сустава, укорочение предплечья относительно плеча);
- долгая боль после нагрузки («локоть теннисиста/гольфиста»), щелчки, снижение силы хвата — исключить костные шпоры, энтезофиты, кальцинаты;
- артроз/артрит: скованность утром, припухлость, болезненность при опоре, подозрение на сужение щели, остеофиты, субхондральный склероз;
- «свободные тела» и остеохондрит: блокировка движения, нестабильность;
- контроль после репозиции, остеосинтеза, артроскопии (пластины, винты, спицы), оценка консолидации;
- сравнительный анализ анатомических особенностей — по показаниям назначают рентген правого и левого локтевого сустава для точной симметричной оценки;
- производственные и спортивные травмы, когда нужна объективизация состояния и документ в медицинский центр.
Рентген локтевого сустава — базовый «первый шаг», при сложной патологии врач добавит КТ/МРТ/УЗИ по ситуации.
Противопоказания для рентгена локтя
Абсолютных запретов для рентгена локтя минимум. В первую очередь это беременность (особенно I триместр) — исследование проводят только по строгим показаниям и с защитой. Относительные причины перенести процедуру: невозможность удерживать позу из-за сильной боли, свежие раны/повязки, мешающие укладке, выраженная тревога у ребенка (решается присутствием родителя и мягкой фиксацией). Лучевой риск низкий: используют минимальные экспозиции, свинцовые экраны закрывают грудь и щитовидную железу, число кадров выбирают по показаниям.
Подготовка
Специальной диеты не требуется, но несколько простых правил улучшат качество. Снимите часы, браслеты и любые металлические предметы с руки и предплечья: артефакты искажают рентгенограмму. Для похода в клинику наденьте одежду с широким рукавом — врач быстрее доберется до зоны. Если боль выражена, допустимо заранее (по согласованию) принять обезболивающее. Возьмите прошлые снимки и выписки: сравнение ускоряет описание и помогает точнее оценить состояние. Если планируете сделать рентген локтевого сустава без направления, уточните у администратора желаемый объем (прямой, боковой, при необходимости — косые укладки).
Как проходит рентгенография локтевого сустава
Пациента усаживают или укладывают на стол детектора, локоть размещают на кассете. Рентген-лаборант объясняет, как положить кисть (пронация/супинация), фиксирует положение, надевает защитный фартук. Рентгеновский аппарат выполняет краткую экспозицию, снимок сразу доступен врачу на экране — можно тут же проверить качество и повторить кадр при смазанной картинке.
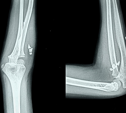
Стандарт диагностики — rg-снимок в двух проекциях: прямой (переднезадней) и боковой. Прямая показывает соотношение плечевой, локтевой и лучевой костей, ширину суставной щели, линии перелома; боковая — положение отломков, контуры локтевого отростка, «жировой» задний треугольник как признак выпота/гемартроза.
По показаниям добавляют косые укладки для уточнения переломов головки лучевой или короноидного отростка, а также выполняют симметричное сравнение. Это полезно у детей (особенности окостенения) и спортсменов (нагрузочная асимметрия).
При сложной травме врач сразу планирует дальнейший маршрут: КТ для многооскольчатых линий, МРТ/УЗИ — для связок, сухожилий, бурс. В любом случае рентген локтя остается первым и самым быстрым шагом.
Расшифровка результатов
Заключение включает техническую часть (укладки, качество) и клиническую — описание рентгена локтевого сустава для лечащего врача. Чтобы ориентироваться в диагностике, нужно знать нормальные показатели и патологию.
При обследовании локтевого сустава рентген в норме дает следующие результаты:
- ровные контуры суставных поверхностей;
- правильное совпадение блоковидной вырезки локтевой кости с мыщелками плечевой и головкой лучевой;
- равномерная суставная щель;
- субхондральная кость без кист;
- краевые остеофиты отсутствуют;
- свободных тел нет;
- позади локтевого отростка нет «жирового треугольника».
Возможные отклонения:
- Травма — тонкая линейная трещина, многооскольчатый перелом, смещение отломков; ступенчатость суставной поверхности головки лучевой; вывихи (чаще задние) с изменением оси предплечья; отрывные фрагменты в области прикрепления сухожилий; признаки гемартроза.
- Дегенерация — артроз с сужением щели, маргинальные остеофиты, субхондральный склероз, иногда — внутрисуставные тела.
- Воспалительные изменения — локальные эрозии при артрите, периостальные наслоения, энтезофиты при хронических перегрузках.
- Послеоперационные изменения — положение пластин/винтов, степень консолидации, отсутствие вторичного смещения.
Если картина неоднозначна, в заключении укажут рекомендации: КТ при подозрении на депрессию суставной поверхности, МРТ/УЗИ — при болях без костных патологий. Так пациент получает не только результат, но и понимание дальнейших действий.

Почему рентген локтевого сустава стоит делать у нас?
- Более низкое излучение, высокое разрешение, современные программы-просмотровщики рентгеновских изображений – залог безопасного исследования и точной постановки диагноза.

- Снимок и заключение врача-рентгенолога в течение часа после исследования выдаются на руки и отражаются в мобильном приложении и электронной карте пациента.

- Многопозиционное исследование в различных проекциях и положениях пациента дает возможность оценки органов в режиме реального времени.

- Вы потратите на диагностику минимум времени, и сразу после неё сможете продолжить свой день в обычном режиме, посвятив его семье, хобби или другим важным для вас вещам.

Фотогалерея
Рентген-аппарат
Цена рентгена локтевого сустава в Казани
Стоимость услуги зависит от числа проекций и срочности описания; точную цену сообщат при записи администраторы центра.
| Рентген локтевого сустава | 1700 р
| Записаться |
Ответы на вопросы
Могу я сделать рентген локтевых суставов по собственному желанию, без назначения врача?
Да, центр принимает без направления: можно записываться и пройти исследование в удобное время. Но лучше заранее обсудить цель с травматологом или ортопедом: специалист подскажет, достаточно ли стандартных прямой и боковой укладок или нужно дополнительно делать косые проекции и сравнение со второй рукой. Это уменьшит число экспозиций и повысит диагностическую точность. Старые снимки возьмите с собой — сравнение экономит время.
Можно ли проводить рентгенографию локтей в один день с УЗИ?
Можно. Рентген локтя показывает кость и пространственные отношения, а УЗИ — связки, сухожилия, бурситы и выпот. Комбинация в один визит удобна: сначала рентген локтевого сустава (быстро исключаем перелом/вывих), затем УЗИ позволяет уточнить мягкотканные структуры и степень воспаления. Лучевая нагрузка у цифровых аппаратов низкая, поэтому совмещение безопасно и рационально с точки зрения маршрута пациента.
Как выбрать минимально достаточный объем и когда делают контроль?
В типичной травме достаточно двух стандартных укладок; при сомнениях врач добавит косую проекцию или попросит симметричное сравнение. Контрольный снимок назначают индивидуально: при стабильном переломе — через 10–14 дней для оценки консолидации, после репозиции — раньше, чтобы исключить вторичное смещение. Если боли сохраняются при «чистом» рентгене, дополнительно рассматривают МРТ/УЗИ для уточнения повреждений связок и сухожилий.
Лицензии

Мы осуществляем деятельность на основании медицинских лицензий в соответствии с рекомендациями Минздрава





