УЗИ яичников в Казани
Показания для УЗИ яичников
Яичники являются парными половыми железами. Находятся в полости малого таза с правой и левой стороны. Органы выполняют эндокринную и репродуктивную функцию. Они обеспечивают формирование и созревание яйцеклеток. Также образуют половые гормоны. Среди них прогестерон, эстрогены. При нарушениях работы желез появляются жалобы, которые могут стать причиной назначения исследования. Пройти УЗИ яичников рекомендуется в таких ситуациях:
- нерегулярный цикл: уменьшение, увеличение его длительности;
- изменение привычного объема крови, выделяемого при менструации;
- боль в нижнем квадранте живота;
- слизь и бели с плохим запахом, гной, выделяемые из влагалища;
- дискомфорт, болезненность во время секса;
- пальпаторно определяемое новообразование в области яичников;
- гормональные отклонения, которые выявлены лабораторно;
- менструация, овуляция с нестерпимой болью;
- признаки перекрута кисты яичника;
- бесплодие при наличии регулярной интимной близости без контрацептивных средств;
- симптоматика раннего климакса;
- месячные, которые длительно отсутствуют по непонятным причинам;
- выделения из влагалища крови между менструациями;
- менопауза, сопровождающаяся кровотечением из половых путей.
Обязательная диагностика нужна после и до хирургического вмешательства, при мониторинге эффекта терапии. Сканирование назначается при подозрении на воспаления, кисту яичника, эндометриоз, опухоль яичника. На этапе подготовки к зачатию, с целью профилактического осмотра. Как часть комплексного обследования органов малого таза.
Противопоказания
Преимуществом УЗИ яичников является ее безопасность. Делать исследование допустимо в любом возрасте. Также во время кормления грудью, в период гестации.
Сканирование трансабдоминально ограничено, если на животе присутствуют эрозии и язвы. Есть свежие раневые и ожоговые поверхности. Имеются гнойнички, сыпь.
Вагинальное (внутреннее) обследование нужно исключить после недавней операции. Когда есть половые инфекции, острые воспаления половых органов, нуждающиеся в лечении. Такой вид УЗИ не проводят при сохраненном гимене (девственная плева), а также женщинам на поздних сроках беременности.
Исследование с помощью ректального датчика не применяют при острых процессах прямой кишки, ее стенозировании. Когда обнаружена аллергическая реакция на латекс.
Подготовка к УЗИ яичников
Подготовка к исследованию включает:
- Предварительный прием врача. Сообщение ему о прошлых операциях, хронических заболеваниях, аллергии.
- Запись на процедуру в определенный день цикла. Чаще в первой фазе. Спустя 5–8 дней после начала последней менструации. Иногда в середине, конце менструального цикла, несколько раз.
- Отказ от пищи, вызывающей газообразование. Требуется при планировании трансабдоминального сканирования. Диета назначается на несколько дней.
- Наполнение мочевого пузыря перед процедурой. Показано при исследовании через переднюю брюшную стенку. Выпить требуется около литра жидкости за час до проведения обследования.
- Выполнение гигиенических процедур гениталий. Опустошение мочевого пузыря перед исследованием. В случае назначения трансвагинального исследования.
- Очищение кишечника перед ректальной диагностикой. Исключение еды, провоцирующей метеоризм, накануне сканирования.
Как делают УЗИ яичников у женщин
Визуализация органов в гинекологии осуществляется в диагностическом кабинете амбулаторно. Примерная продолжительность исследования около получаса.
УЗИ яичников у женщин проводят следующими способами:
- Абдоминальная техника. Исследование выполняется лежа. Женщина располагается на кушетке спиной. Руки расположены вдоль тела. Ноги укладываются прямо. Передняя стенка живота обнажена. На кожу узист наносит малое количество безвредного гидрогеля. Берет датчик, прикладывает его к коже. Специалист изучает правый и левый яичник. Оценивает их состояние. Различает патологические процессы. Изображения проецируются на экране. По показаниям доктор дополнительно проводит допплерографию. Он изучает сосуды, кровоток в органах.
- Трансвагинальная техника. Пациентка снимает снизу всю одежду. Ложится спиной на кушетку. Ноги разводит в стороны, сгибает их в коленях. Сонолог надевает на датчик защитную насадку. Смазывает его гелем. Далее вводит во влагалище. Женщина при этом не чувствует болевых ощущений. Врач оценивает внутренние органы. Видит на экране их параметры. Выявляет имеющиеся новообразования, жидкостные образования, воспаления, иные проблемы.
- Ректальная техника. Датчик вводится в прямую кишку. Женщина для этого укладывается на бок. Методика применяется в тех случаях, когда невозможно осуществить иные варианты диагностики.
Расшифровка результатов
В описании доктор указывает состояние яичников и их характеристики. Описывает размер, форму, локализацию патологий. Их распространение, вид, характер поражения. В случае комплексного УЗИ отражает параметры матки, шейки, мягких тканей. Пишет заключение и важные выводы.
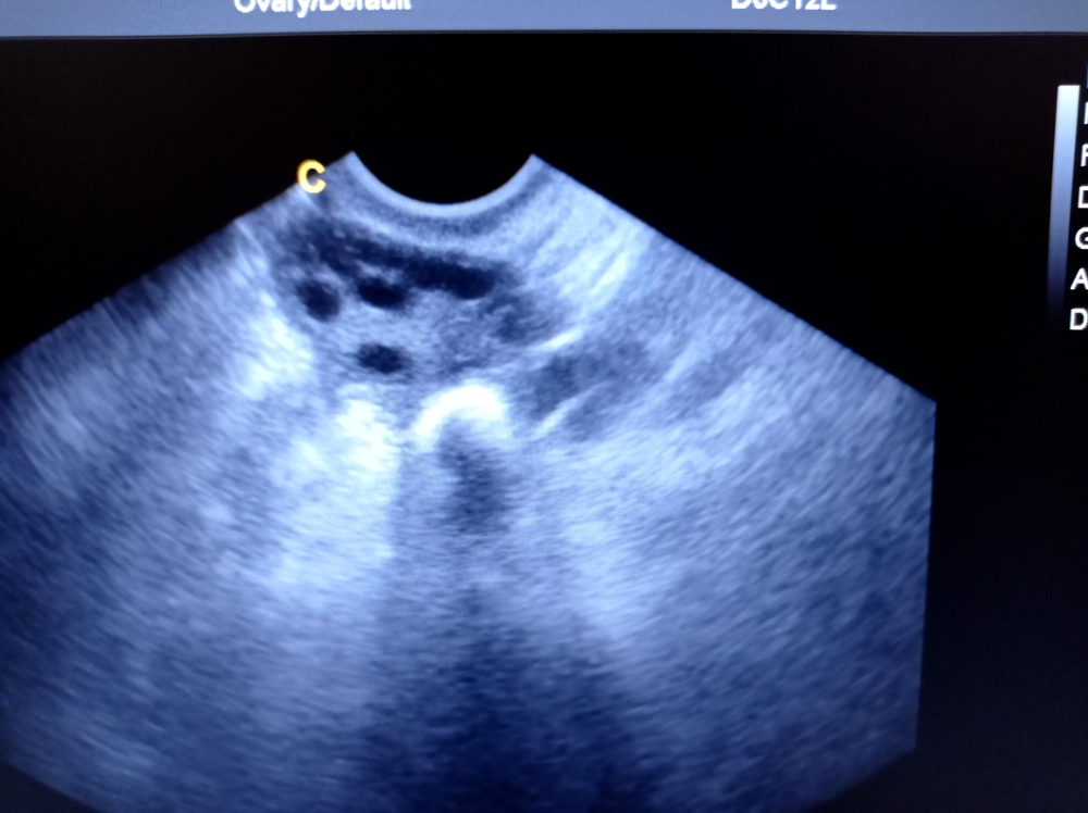
Ультразвуковая диагностика яичников в норме:
- размеры: длина в промежутке от 3 до 4 сантиметров, ширина в границах 2–3 сантиметров, толщина примерно 1,5–2,2 сантиметра;
- форма овальная;
- капсула ровная;
- фолликулы диаметром от 5 до 8 миллиметров, в середине цикла имеется доминантный фолликул диаметром 18–24 миллиметра;
- патологическая жидкость отсутствует.
УЗИ яичников показывает:
- поликистоз;
- воспаление придатков (аднексит, сальпингоофорит);
- признаки апоплексии;
- перекрут кисты;
- рак яичников, метастазы;
- параовариальную кисту яичника;
- аномалии развития;
- фиброму;
- тератому (дермоид);
- цистаденому;
- эндометриоидную кисту;
- последствия травм;
- эктопическую беременность;
- инфекционные очаги.
Готовый протокол ультразвукового исследования яичников оценивает лечащий врач. При необходимости он назначает дообследование. После выставления диагноза подбирает методику лечебной терапии.

Почему УЗИ яичников стоит делать у нас?
- Современный парк диагностического оборудования – гарантия высокого качества визуализации и максимальной информативности исследований.

- Специалисты с большим практическим опытом, в том числе кандидаты медицинских наук и врачи-диагносты с опытом тысяч проведенных исследований.

- Отсутствие специальной подготовки для большинства исследований – многие виды УЗИ проводятся быстро и не требуют сложной предварительной подготовки пациента.

- Комфорт и отсутствие психологического напряжения – процедура проходит легко, не связана со страхом замкнутого пространства (в отличие от МРТ) или громкими звуками.

Фотогалерея
Оборудование УЗИ
Цена на УЗИ яичников в Казани
Сделать УЗИ яичников вы можете при посещении нашей многопрофильной клиники. Прием проводят опытные доктора на инновационном оборудовании. Результат точен. Доступен в короткие сроки. Записаться на обследование и узнать стоимость услуг возможно у сотрудников медицинского центра по телефону. Также можно воспользоваться онлайн-записью.
| УЗИ яичников | 1900 р
| Записаться |
Ответы на вопросы
На УЗИ нашли кисту желтого тела. Это опасно?
Такая киста является доброкачественным функциональным образованием. Возникает в момент неправильного развития желтого тела. Сама по себе кистозная полость не представляет угрозы для здоровья и жизни женщины. Полностью рассасывается через 1–3 менструальных цикла. Крайне редко могут быть осложнения кисты. Например, перекрут ее ножки, разрыв, присоединение воспаления, кровоизлияния. Подобные состояния требуют медицинской помощи.
Что значит "фолликулы" в яичниках на УЗИ?
В норме во время ультразвукового исследования в яичниках присутствуют фолликулы. Они представляют собой структуры, в которых созревают яйцеклетки. Их наличие свидетельствует о том, что женщина способна зачать ребенка. Количество фолликулов влияет на шансы женщины забеременеть. Если есть 4–6 фолликулов, то риск зачатия низкий. Когда их количество от 7 до 12, процент зачатия высокий. Снижение фолликулов ниже 4 или увеличение более 16 подтверждает невозможность женщины забеременеть.
Что значит "яичник не визуализируется" на УЗИ?
Иногда во время УЗ-диагностики яичник не виден. Такая ситуация возникает, когда визуализировать орган мешает выраженное газообразование, спайки, смещение внутренних структур, пельвиоперитонит, увеличенная матка. Также на УЗИ нет органа, если он имеет меньшие размеры, был ранее удален либо отсутствует с рождения. После диагностики женщине необходима консультация гинеколога.
Лицензии

Мы осуществляем деятельность на основании медицинских лицензий в соответствии с рекомендациями Минздрава





